• 首页
  • 医院概况
    医院简介 医院文化
  • 科室介绍
    全国农村医疗机构中医特色专科 山东省中医药服务能力提升工程特色专科 济宁市中医药重点专科 特色专科 医技科室 其它科室 全国名老中医药专家传承工作室
  • 名医风采
    运河名医馆 脑病科 针灸科 康复医学科 肛肠科 中医护理 肺病科 内分泌科 心病科 外一科 外二科 疼痛科 儿科 妇产科 不孕不育门诊 国医堂 医院临床医疗科 耳鼻喉科 肿瘤科 治未病科 制剂室 检验科 彩超室 心电图室 胃镜室 脑超室 医院手术室 麻醉科 影像科 透析科 骨伤科 营养科 急诊门诊 重症监护室 男科 口腔科 老年病科 脾胃肝胆科
  • 医院新闻
    通知公告 医院动态 行业新闻 人事信息 党建工作
  • 中医药特色疗法
  • 先进诊疗技术
  • 特色制剂
  • 医院政务
  • 招标采购
  • 联系我们
  • 首页
  • 医院概况
    医院简介 医院文化
  • 科室介绍
    全国农村医疗机构中医特色专科 山东省中医药服务能力提升工程特色专科 济宁市中医药重点专科 特色专科 医技科室 其它科室 全国名老中医药专家传承工作室
  • 名医风采
    运河名医馆 脑病科 针灸科 康复医学科 肛肠科 中医护理 肺病科 内分泌科 心病科 外一科 外二科 疼痛科 儿科 妇产科 不孕不育门诊 国医堂 医院临床医疗科 耳鼻喉科 肿瘤科 治未病科 制剂室 检验科 彩超室 心电图室 胃镜室 脑超室 医院手术室 麻醉科 影像科 透析科 骨伤科 营养科 急诊门诊 重症监护室 男科 口腔科 老年病科 脾胃肝胆科
  • 医院新闻
    通知公告 医院动态 行业新闻 人事信息 党建工作
  • 中医药特色疗法
  • 先进诊疗技术
  • 特色制剂
  • 医院政务
  • 招标采购
  • 联系我们

先进诊疗技术

联系方式

济宁市中西医结合医院(济宁市任城区中医院)
地址:济宁市任城区荷花路127号
电话:0537-7909666
E-mail:rczyybgs@126.com
网站:www.jnszxy.cn

当前位置:首页>先进诊疗技术
先进诊疗技术

脑血管介入治疗

时间:2022-05-24   访问量:24677

对于缺血性脑血管病的患者,在时间窗内首选静脉溶栓,对于静脉溶栓不理想,或症状较重患者,可进一步行动脉溶栓或桥接取栓治疗。

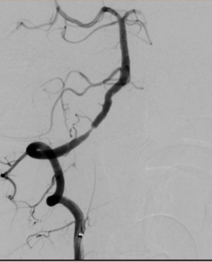
脑血管造影是目前脑血管检查的金标准,是通过动脉插管,使用造影剂显影完成脑血管检查的一种微创方法。其特点:简单、方便、安全、准确、创伤小。我院从2009年开始开展脑血管造影检查,目前开展经桡动脉、股动脉两种路径完成脑血管造影及治疗,桡动脉路径大大减轻患者的痛苦。目前开展的治疗手术:颅内外血管球囊扩张成形术、支架置入术、动脉瘤栓塞术、急症溶栓、取栓术,对于出血性脑血管病患者开展了微创血肿清除术。每年造影检查量约500例左右,治疗量约100例左右。介入技术水平走在了全市前列,取得了广大患者的好评。

图片1.jpg  图片2.jpg

              经股动脉入路造影                                                               经桡动脉入路造影

 图片4.jpg

                        椎动脉狭窄                                                  椎动脉支架术后〔经桡动脉入路〕

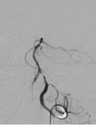
图片5.jpg  图片6.jpg 图片7.jpg

                大脑中动脉取栓前                                         大脑中脉取栓中                                                            大脑中动脉取栓后

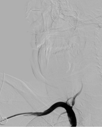
图片8.jpg 图片9.jpg

                                椎动脉V4段                                                         狭窄椎动脉V4段支架术后

图片10.jpg  图片11.jpg

                            椎--基底结合部狭窄                                               椎-基底结合部支架术后

图片12.jpg  图片13.jpg

                        颈内动脉狭窄                                                           颈内动脉支架术后






上一篇:静脉溶栓

下一篇:没有了!

首页|医院概况|科室介绍|名医风采|医院新闻|中医药特色疗法|先进诊疗技术|特色制剂|医院政务|招标采购|联系我们

Copyright 2012- 2015 www.jnszxy.com All Rights Reserved. 济宁市中西医结合医院 版权所有
总院地址:济宁市王母阁路127号 邮编:272000
鲁公网安备 37080202000569 鲁ICP备13007023号-1

电话咨询
在线咨询
关于我们